


La Ortodoncia es una rama de la Odontología especializada en la corrección de los dientes y mandíbulas desalineadas. A través de aparatos como brackets, alineadores transparentes y otros dispositivos ortopédicos, se busca mejorar la función y estética dental. Los tratamientos de ortodoncia no solo contribuyen a una sonrisa más atractiva, sino que también promueven una correcta mordida, mejorando la salud bucal a largo plazo.
En nuestro Centro de Especialidades Odontológicas, ofrecemos tratamientos personalizados para todas las edades, utilizando tecnología avanzada que garantiza resultados óptimos de manera cómoda y eficiente. Desde la evaluación inicial hasta la fase de mantenimiento, estamos comprometidos con brindarte una sonrisa alineada y
La Ortodoncia es una especialidad Odontológica dedicada a diagnosticar, prevenir y corregir las irregularidades dentales y faciales. Nuestro objetivo es lograr una alineación óptima de los dientes y mandíbulas, mejorando tanto la estética como la funcionalidad de la mordida.
En nuestro Centro de Especialidades Odontológicas, ofrecemos tratamientos ortodóncicos personalizados para niños, adolescentes y adultos. Utilizamos las últimas tecnologías, como brackets metálicos, cerámicos y alineadores transparentes (Invisalign), para garantizar resultados efectivos y discretos. Además de mejorar la apariencia de tu sonrisa, la ortodoncia contribuye a una mejor salud bucal al facilitar la higiene dental y prevenir problemas futuros como desgaste dental, caries o enfermedades de las encías.
Confía en nuestro equipo de especialistas para acompañarte en el camino hacia una sonrisa más saludable y armoniosa.
ORTODONCIA CON BOTONES LINGUALES Y RESORTES ABIERTOS
Rhoncus mi tempora hac quasi, excepturi consectetur voluptatem. Placerat, expedita imperdiet atque platea aenean anim iste dictum ipsa iaculis amet facilis exerc.
Magina voluptatum doloriem! Dolores! Sociosqii commodiin nobis imperdiet lacinia? Magni! Felis, elementum nobis imperdiet lacinia nobis imperdiet lacinia commodo nobis imper lacinia nobis imperd.
ORTODONCIA CON BRACKETS Y ARCOS ESTÉTICOS
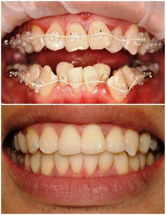
PROCESO DE ORTODONCIA
Nuestras Instalaciones: Tecnología y Confort para tu Bienestar
En nuestro Centro de Especialidades Odontológicas, hemos diseñado cada una de nuestras estaciones de trabajo pensando en tu comodidad y en la eficiencia del tratamiento. Contamos con modernas instalaciones equipadas con tecnología de última generación, que nos permiten ofrecerte atención de calidad en un entorno seguro y relajante.
Nuestras salas de tratamiento están equipadas con unidades dentales ergonómicas, sistemas de esterilización de primer nivel y herramientas de diagnóstico avanzadas, como radiografía digital y escáneres intraorales 3D. Estos equipos no solo garantizan precisión en el diagnóstico y tratamiento, sino que también minimizan el tiempo de espera y mejoran tu experiencia como paciente.
El ambiente de nuestro Centro de Especialidades Odontológicas ha sido cuidadosamente diseñado para brindarte un espacio acogedor y tranquilo, con áreas de espera confortables y un equipo profesional dispuesto a atenderte con amabilidad y respeto.
Alicates:
Pinzas:
Arcos y alambres ortodónticos:
Brackets:
Ligaduras:
Separadores:
Bandas ortodónticas:
Espejo dental: Herramienta estándar para la inspección visual durante el tratamiento.
Cemento dental: Para fijar brackets y bandas de forma duradera.
Expansores:
La mejor Decisión
Lunes a Viernes
9:00 am - 6:00 pm
Sábado
9:00 am - 13:00 pm
Ortodoncista
Doctor en Odontología Universidad Central del Ecuador.
Licenciatura en filosofía y ciencias de la Educación Universidad Central del Ecuador.
Estudios de ortodoncia: Universidad de Chile.
Posgrado en Ortodoncia fija y Ortopedia Funcional de las Maxilares. Universidad Pontificia Saleciana. Universidad de Chile.
Diplomado Superior en Ortodoncia y Ortopedia Maxilofacial. CME: Universidad Estomatológica de México.
Maestría (MsC) en la Facultad de Medicina de la UCE.
Más de cien diplomas de cursos, congresos nacionales e internacionales, talleres, Simposios, Conferencias etc
Conferencista y Docente.
Estamos Disponibles las 24 Horas del día y los 365 días del Año